Co to jest histologia?
Histologia jest dziedziną biologii, która bada tkanki organiczne zwierząt i roślin w ich mikroskopijnych aspektach: właściwości, skład, struktura i funkcja. Dlatego też jego podstawowym narzędziem jest mikroskop.
Słowo histologia pochodzi od greckiego histós oznaczającego „tkanka”, „słup” lub „pręt” (w znaczeniu „stojący pionowo”). Zawiera przyrostek logia , co oznacza „badanie lub nauka”. Tak więc histologia bada drobne struktury, z których zbudowane są organizmy istot żywych.
zastosowania histologii obejmują pokrewne nauki i dziedziny tak różnorodne jak między innymi anatomia, medycyna, immunologia, patologia, fizjologia, cytologia, żywienie, biochemia, genetyka, kryminalistyka, rolnictwo i archeologia.
Gałęzie histologii
Istnieją dwie główne gałęzie histologii: histologia roślin i histologia zwierząt.
Histologia roślin

Widok tkanki roślinnej pod mikroskopem. Szczegóły stomii.
Histologia roślin zajmuje się analizą roślin, tzn. istot żywych należących do królestwa roślin. Histologia roślin obejmuje badanie dwóch podstawowych tkanek:
- tkanki merystematyczne (tkanki wzrostowe), do których należą tkanki pierwotne i wtórne;
- tkanki dorosłego człowieka , do których należą tkanki miąższowe, podporowe, ochronne, wydzielnicze i przewodzące.
Może Panią/Pana zainteresować: Parenchyma.
Histologia zwierząt
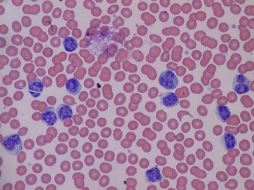
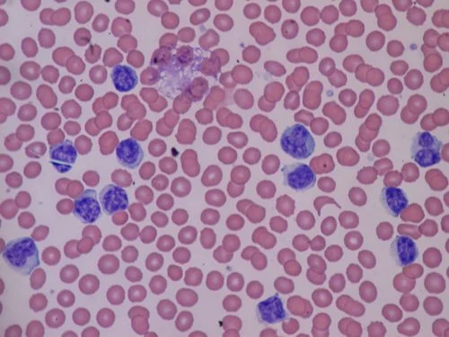
Widok tkanki ludzkiej pod mikroskopem. Próbka krwi (szczegóły dotyczące limfocytów).
Histologia zwierząt bada metazoa, czyli żywe zwierzęta.
Histologia człowieka jest zaliczana do histologii zwierząt, ponieważ z biologicznego punktu widzenia człowiek jest częścią królestwa zwierząt. Jest to jednak specyficzny obszar zainteresowania w zakresie zdrowia.
Histologia zwierząt obejmuje badanie następujących tkanek:
- tkanka łączna lub łącznotkankowa , która obejmuje odmiany tkanki chrzęstnej, tkanki kostnej, tkanki tłuszczowej i krwi;
- tkanka nabłonkowa , która jest tkanką wyściełającą powierzchnie organizmu;
- tkanka mięśniowa , która składa się z komórek, które wykorzystują energię chemiczną do wytwarzania ruchu;
- tkanka nerwowa , która odnosi się do neuronów, które przekazują pożyteczne informacje dla organizmu.
Metoda histologiczna
Proces histologiczny odnosi się do technik histologii niezbędnych do badania tkanek. Opiera się ona na serii elementarnych kroków.
- Wprowadzenie , w którym następuje pobranie tkanki (np. poprzez biopsję).
- Utrwalanie , proces, który ma na celu zachowanie właściwości tkanki za pomocą różnych technik.
- Włączenie , metoda usztywniania tkanki w celu ułatwienia sekcjonowania w celu badania przez sekcje.
- Cięcie , odnosi się do procesu cięcia stwardniałych tkanek, który jest wykonywany za pomocą urządzenia zwanego mikrotomem .
- Barwienie : jest procesem, który zwiększa kontrast za pomocą barwienia, ponieważ wiele tkanek jest bezbarwnych dla mikroskopu.
- Obserwacja : odnosi się do procesu obserwacji i analizy przeprowadzanej przez specjalistę przez mikroskop, z której można wyciągnąć wnioski.
Historia histologii
Od lewej do prawej: pierwszy mikroskop i jego wynalazca Zaccharias Janssen; Marcello Malpighi i Xavier Bichat.
Marcello Malpighi (1628-1694), naukowiec z Accademia del Cimento we Florencji, został uznany za ojca histologii, ponieważ po raz pierwszy analizował tkanki przy użyciu mikroskopu, wynalezionego w XVI wieku przez Zacchariasa Janssena. W tym samym czasie Robert Hooke zrobiłby to samo i po raz pierwszy stwierdził istnienie komórek.
Mikroskop został udoskonalony w XVII wieku przez Antona van Leeuwenhoeka, który uzyskał powiększenie 500x, dzięki czemu mógł rozróżnić dwa różne rodzaje komórek: prokariota i eukariota.
Nowoczesna histologia
W XVIII wieku M. F. Xavier Bichat został uznany za ojca nowoczesnej histologii, ponieważ potrafił sklasyfikować tkanki i określić mikroskopowe pochodzenie chorób.
W XIX wieku istotne było uznanie komórki jako minimalnej jednostki istot żywych (H. Dutrochet, J. P. Müller i P. J. François Turpin) oraz jako strukturalnej i funkcjonalnej jednostki organizmów (F. T. Schwann i M. Schleiden).
W XX wieku, w roku 1931, Erns Ruska wynalazł mikroskop elektronowy o powiększeniu 5000x, który rozszerzył histologię na wyższe poziomy.
Być może zainteresuje Państwa mikroskop.
Znaczenie histologii
Histologia ma istotne znaczenie dla zrozumienia funkcjonowania żywych organizmów, co ma wpływ na badania medyczne i naukowe w ogóle, a nawet na ekonomię.
Na przykład
- Rozpoznaje patologie, które wpływają na zdrowie, zarówno poprzez patogeny (wirusy i bakterie), jak i poprzez zaburzenia równowagi w organizmie, takie jak cukrzyca, wysoki poziom cholesterolu, hemofilia, anemia, leukocytoza itd.
- Wspiera rozwój rolnictwa.
(tixagag_4) Umożliwia badanie hipotez, identyfikację problemów i rozwiązań poprzez hodowlę tkanek.
Współpracuje w procesach dochodzenia w sprawach karnych.
Dostarcza specjalistycznych informacji dla badań archeologicznych.






